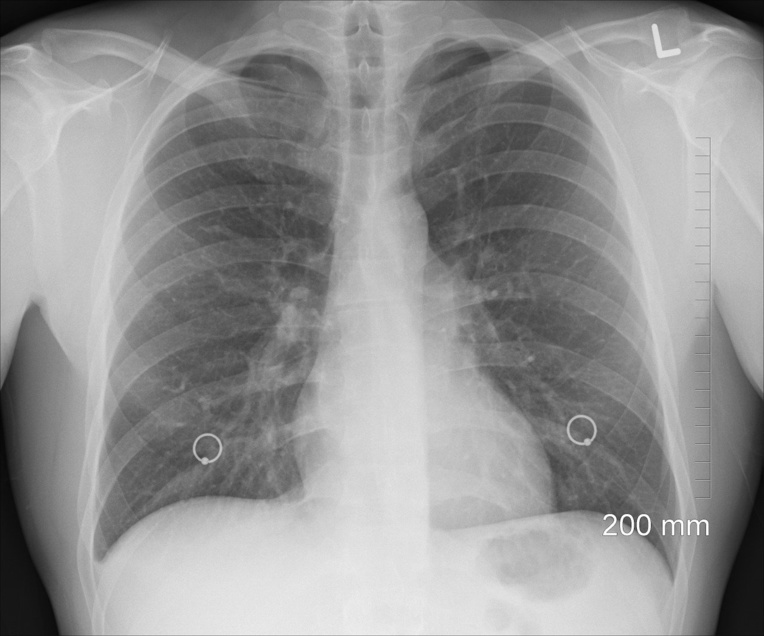
Tunis, Tunisie | AFP | vendredi 17/04/2020 - Des ingénieurs tunisiens ont indiqué avoir développé un outil d'intelligence artificielle en libre accès pour aider à diagnostiquer instantanément le nouveau coronavirus à partir de simples radiographies des poumons, ce qui pourrait accélérer le dépistage de la maladie Covid-19 en Tunisie.
La plateforme en ligne est testée par le ministère de la Santé avant une éventuelle utilisation par les services hospitaliers de la Tunisie, qui a jusqu'ici officiellement confirmé plus de 800 cas de contamination, dont 37 décès.
Plusieurs initiatives dans ce domaine ont été lancées dans le monde, notamment au Canada et en Chine, mais les concepteurs tunisiens soulignent ne pas avoir trouvé d'autre plateforme directement opérationnelle et accessible à tous.
Elle est développée depuis mi-mars par des enseignants et étudiants de l'école d'ingénieur Insat, avec le soutien de l'organisme public allemand d'aide au développement GIZ, de la Société italienne de radiologie et du géant américain de l'informatique IBM.
L'outil a été élaboré en lui transmettant des milliers de radios de personnes ayant contracté la maladie Covid-19 et de personnes saines, afin qu'il apprenne à distinguer les marqueurs de la maladie dans les poumons.
L'intelligence artificielle "permet de classifier un grand nombre d'images en un temps très court, avec un faible coût", a expliqué vendredi à l'AFP Moustapha Hamdi, universitaire et concepteur de cet outil. "Nous sommes en train d'affiner la détection pour les cas où il y a très peu de symptômes".
Le résultat est obtenu "en deux clics": "il suffit de charger l'image puis de la soumettre à l'analyse, qui donne un score de reconnaissance" de la maladie Covid-19, a-t-il ajouté.
- "Expérimentation" -
Il ne s'agit pas d'un diagnostic médical, mais d'une mesure de la probabilité que la personne soit atteinte du nouveau coronavirus, fiable à "90%" selon ses concepteurs.
"Le concept de départ, c'est de permettre aux régions intérieures reculées (en Tunisie) de pouvoir faire des dépistages en masse", a expliqué M. Hamdi.
Les infrastructures hospitalières sont réparties de façon très inégales en Tunisie, les villes côtières (nord) étant bien équipées alors que les régions intérieures sont dépourvues de centres médicaux universitaires ou de médecins spécialisés.
"Il suffit d'avoir une connexion internet" et la possibilité de faire une radio, un examen courant et peu coûteux dans les hôpitaux publics, a poursuivi M. Hamdi, précisant que l'outil pourrait aider à accélérer le tri des patients "lorsque leur nombre augmente" aux urgences.
"Plus on alimente la plateforme par des images, plus elle devient précise et fiable", a-t-il ajouté, précisant que de nombreux internautes étrangers y ont déjà eu recours.
C'est "une très bonne idée, mais elle est encore à l'étape de l'expérimentation", a réagi le Dr Fawzi Haddad, qui exerce dans le principal hôpital tunisien chargé des malades du Covid.
La plateforme en ligne est testée par le ministère de la Santé avant une éventuelle utilisation par les services hospitaliers de la Tunisie, qui a jusqu'ici officiellement confirmé plus de 800 cas de contamination, dont 37 décès.
Plusieurs initiatives dans ce domaine ont été lancées dans le monde, notamment au Canada et en Chine, mais les concepteurs tunisiens soulignent ne pas avoir trouvé d'autre plateforme directement opérationnelle et accessible à tous.
Elle est développée depuis mi-mars par des enseignants et étudiants de l'école d'ingénieur Insat, avec le soutien de l'organisme public allemand d'aide au développement GIZ, de la Société italienne de radiologie et du géant américain de l'informatique IBM.
L'outil a été élaboré en lui transmettant des milliers de radios de personnes ayant contracté la maladie Covid-19 et de personnes saines, afin qu'il apprenne à distinguer les marqueurs de la maladie dans les poumons.
L'intelligence artificielle "permet de classifier un grand nombre d'images en un temps très court, avec un faible coût", a expliqué vendredi à l'AFP Moustapha Hamdi, universitaire et concepteur de cet outil. "Nous sommes en train d'affiner la détection pour les cas où il y a très peu de symptômes".
Le résultat est obtenu "en deux clics": "il suffit de charger l'image puis de la soumettre à l'analyse, qui donne un score de reconnaissance" de la maladie Covid-19, a-t-il ajouté.
- "Expérimentation" -
Il ne s'agit pas d'un diagnostic médical, mais d'une mesure de la probabilité que la personne soit atteinte du nouveau coronavirus, fiable à "90%" selon ses concepteurs.
"Le concept de départ, c'est de permettre aux régions intérieures reculées (en Tunisie) de pouvoir faire des dépistages en masse", a expliqué M. Hamdi.
Les infrastructures hospitalières sont réparties de façon très inégales en Tunisie, les villes côtières (nord) étant bien équipées alors que les régions intérieures sont dépourvues de centres médicaux universitaires ou de médecins spécialisés.
"Il suffit d'avoir une connexion internet" et la possibilité de faire une radio, un examen courant et peu coûteux dans les hôpitaux publics, a poursuivi M. Hamdi, précisant que l'outil pourrait aider à accélérer le tri des patients "lorsque leur nombre augmente" aux urgences.
"Plus on alimente la plateforme par des images, plus elle devient précise et fiable", a-t-il ajouté, précisant que de nombreux internautes étrangers y ont déjà eu recours.
C'est "une très bonne idée, mais elle est encore à l'étape de l'expérimentation", a réagi le Dr Fawzi Haddad, qui exerce dans le principal hôpital tunisien chargé des malades du Covid.






































