Washington, Etats-Unis | AFP | vendredi 07/07/2023 - Les autorités sanitaires américaines ont pleinement autorisé jeudi un nouveau traitement contre Alzheimer, permettant ainsi de le rendre plus accessible via le système fédéral d'assurance santé.
Le Leqembi, qui vise à réduire le déclin cognitif, est autorisé pour les patients n'ayant pas encore atteint un stade avancé de la maladie.
Il avait été approuvé en janvier par l'Agence américaine des médicaments (FDA) selon une procédure accélérée. L'analyse d'études complémentaires a désormais permis son autorisation complète, a expliqué la FDA dans un communiqué.
Administré par intraveineuse toutes les deux semaines, il est développé par l'entreprise pharmaceutique japonaise Eisai avec l'américaine Biogen. Son prix a été fixé à 26.500 dollars par an et par patient.
Le système fédéral de couverture santé Medicare, destiné aux personnes de plus de 65 ans, ne le couvrait jusqu'ici que s'il était pris dans le cadre d'essais cliniques, limitant de facto grandement son accès.
Avec l'autorisation complète de la FDA, il sera désormais "largement" couvert, a déclaré dans un communiqué Chiquita Brooks-LaSure, à la tête de l'organisme gérant Medicare. "C'est une bonne nouvelle pour les millions de personnes atteintes de cette maladie invalidante dans tout le pays, et leurs familles."
Les patients devront toutefois encore payer de leur poche une partie du coût (20%, soit plusieurs milliers de dollars), précise le communiqué.
Le Leqembi fait partie d'une nouvelle génération de traitements ciblant une protéine appelée bêta-amyloïde, qui forme des plaques dans le cerveau de patients malades.
"A ce jour, le Leqembi n'est approuvé qu'aux Etats-Unis. Il est en cours d'évaluation par les agences réglementaires notamment en Europe, au Japon, au Royaume-Uni et en Chine", a indiqué vendredi à l'AFP Emmanuel Roux, directeur de l'accès au marché chez Eisai France.
Ce médicament a été le premier à démontrer clairement une réduction du déclin cognitif (de 27%) dans le cadre d'un essai clinique. Sans soigner les patients, il peut permettre de ralentir un peu la progression de la maladie.
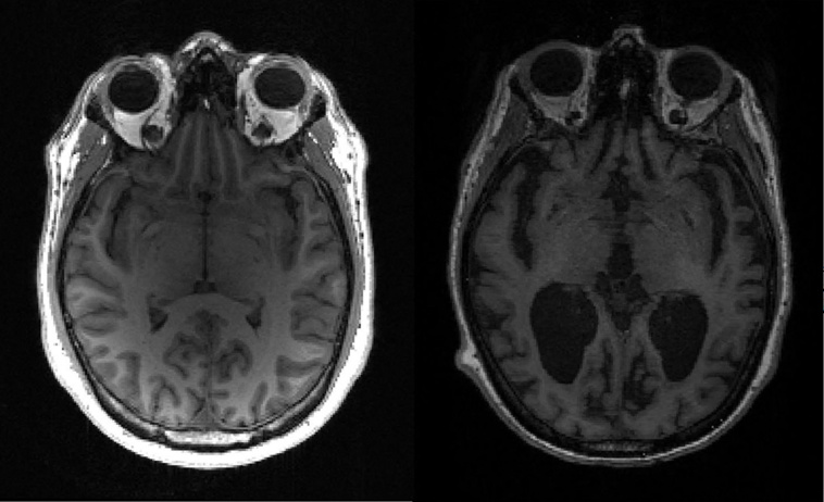
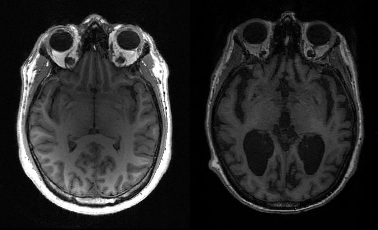
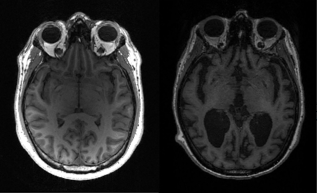
Il est toutefois accompagné d'un avertissement: il peut entraîner des effets secondaires graves, comme des oedèmes ou hémorragies cérébrales, qui peuvent être fatals.
"Ce traitement, même s'il n'est pas un remède, peut permettre de donner plus de temps aux gens (...) pour maintenir leur indépendance et faire les choses qu'ils aiment", s'est félicitée Joanne Pike, présidente de l'association de patients Alzheimer Association.
Les personnes atteintes "méritent d'avoir l'opportunité de discuter et de décider, avec leur médecin et leur famille, si ce traitement est bon pour eux", a-t-elle ajouté.
Un autre traitement développé par Esai et Biogen contre Alzheimer, l'Aduhelm, avait été le premier à être autorisé par la FDA selon une procédure accélérée. Mais cette décision avait été largement critiquée par des experts face au manque de preuves sur son efficacité.
Le groupe pharmaceutique américain Eli Lilly développe également un traitement contre Alzheimer ciblant les plaques amyloïdes et ayant démontré une réduction du déclin cognitif. Au printemps, l'entreprise avait annoncé vouloir déposer rapidement des demandes d'autorisation dans le monde entier.
Le Leqembi, qui vise à réduire le déclin cognitif, est autorisé pour les patients n'ayant pas encore atteint un stade avancé de la maladie.
Il avait été approuvé en janvier par l'Agence américaine des médicaments (FDA) selon une procédure accélérée. L'analyse d'études complémentaires a désormais permis son autorisation complète, a expliqué la FDA dans un communiqué.
Administré par intraveineuse toutes les deux semaines, il est développé par l'entreprise pharmaceutique japonaise Eisai avec l'américaine Biogen. Son prix a été fixé à 26.500 dollars par an et par patient.
Le système fédéral de couverture santé Medicare, destiné aux personnes de plus de 65 ans, ne le couvrait jusqu'ici que s'il était pris dans le cadre d'essais cliniques, limitant de facto grandement son accès.
Avec l'autorisation complète de la FDA, il sera désormais "largement" couvert, a déclaré dans un communiqué Chiquita Brooks-LaSure, à la tête de l'organisme gérant Medicare. "C'est une bonne nouvelle pour les millions de personnes atteintes de cette maladie invalidante dans tout le pays, et leurs familles."
Les patients devront toutefois encore payer de leur poche une partie du coût (20%, soit plusieurs milliers de dollars), précise le communiqué.
Le Leqembi fait partie d'une nouvelle génération de traitements ciblant une protéine appelée bêta-amyloïde, qui forme des plaques dans le cerveau de patients malades.
"A ce jour, le Leqembi n'est approuvé qu'aux Etats-Unis. Il est en cours d'évaluation par les agences réglementaires notamment en Europe, au Japon, au Royaume-Uni et en Chine", a indiqué vendredi à l'AFP Emmanuel Roux, directeur de l'accès au marché chez Eisai France.
Ce médicament a été le premier à démontrer clairement une réduction du déclin cognitif (de 27%) dans le cadre d'un essai clinique. Sans soigner les patients, il peut permettre de ralentir un peu la progression de la maladie.
Il est toutefois accompagné d'un avertissement: il peut entraîner des effets secondaires graves, comme des oedèmes ou hémorragies cérébrales, qui peuvent être fatals.
"Ce traitement, même s'il n'est pas un remède, peut permettre de donner plus de temps aux gens (...) pour maintenir leur indépendance et faire les choses qu'ils aiment", s'est félicitée Joanne Pike, présidente de l'association de patients Alzheimer Association.
Les personnes atteintes "méritent d'avoir l'opportunité de discuter et de décider, avec leur médecin et leur famille, si ce traitement est bon pour eux", a-t-elle ajouté.
Un autre traitement développé par Esai et Biogen contre Alzheimer, l'Aduhelm, avait été le premier à être autorisé par la FDA selon une procédure accélérée. Mais cette décision avait été largement critiquée par des experts face au manque de preuves sur son efficacité.
Le groupe pharmaceutique américain Eli Lilly développe également un traitement contre Alzheimer ciblant les plaques amyloïdes et ayant démontré une réduction du déclin cognitif. Au printemps, l'entreprise avait annoncé vouloir déposer rapidement des demandes d'autorisation dans le monde entier.





































