Paris, France | AFP | lundi 17/09/2018 - Qui a déjà entendu parler de l'aspergillose ? Sous ce nom qui évoque un légume de printemps se cache en fait une maladie insidieuse, mal connue, due à un champignon minuscule et parfois très dangereux pour les poumons.
"C'est un énorme problème de santé publique, mais cette maladie n'est pas visible de la population et du corps médical", assure à l'AFP le docteur Cendrine Godet, selon qui "ces patients doivent être reconnus comme victimes".
Avec d'autres spécialistes, elle a sonné la mobilisation contre l'aspergillose pulmonaire chronique lundi à Paris, lors du Congrès international de la Société européenne des maladies respiratoires (ERS).
"Les publications actuelles font état de 3 millions de personnes touchées dans le monde et 240.000 en France, mais c'est très sous-estimé", dit-elle.
Le coupable est un champignon extrêmement répandu, l'aspergillus. Greniers, plafonds, climatiseurs, lieux humides comme les salles de bains ou les cuisines: "On le respire quotidiennement", souligne le docteur Godet. "Dès que vous avez des taches noirâtres sur les murs, il y a de l'aspergillus là-dedans".
Pour la plupart des gens, il est inoffensif. A l'inverse, on sait depuis longtemps qu'il met en danger des patients fragiles, comme les immunodéprimés ou ceux qui ont déjà souffert d'autres maladies pulmonaires comme la tuberculose ou le cancer du poumon.
Mais, et c'est nouveau, les spécialistes estiment aujourd'hui que l'aspergillus représente une menace pour une catégorie de population bien plus large que ce qu'on pensait.
"Cela peut être des gens qui ont les bronches dilatées parce qu'ils fument, qui ont de l'asthme, ou qui ont une petite cicatrice sur le poumon, laissée par une infection ancienne, comme une pneumonie par exemple", selon le docteur Godet.
L'aspergillus profite alors de ces portes d'entrée pour "faire son nid" dans le poumon, ajoute-t-elle, en citant l'exemple d'un de ses patients, un palefrenier vraisemblablement infecté à force de manipuler des céréales dans les box à chevaux.
"Des symptômes chroniques peuvent se développer sur des mois et des années, sans faire de bruit: on tousse, on est essoufflé et on peut en arriver à cracher du sang", décrit Cendrine Godet.
Ces symptômes ne sont pas propres à cette maladie et le diagnostic est difficile à poser.
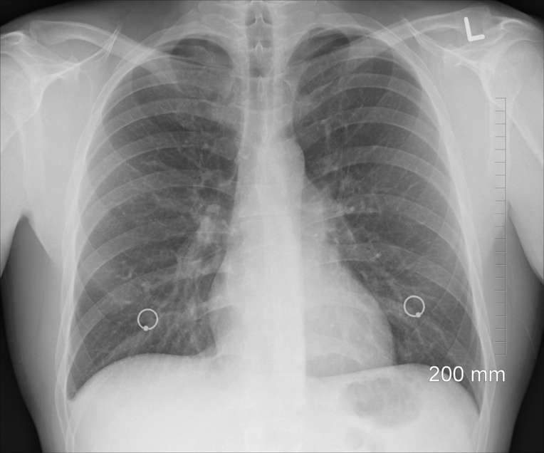
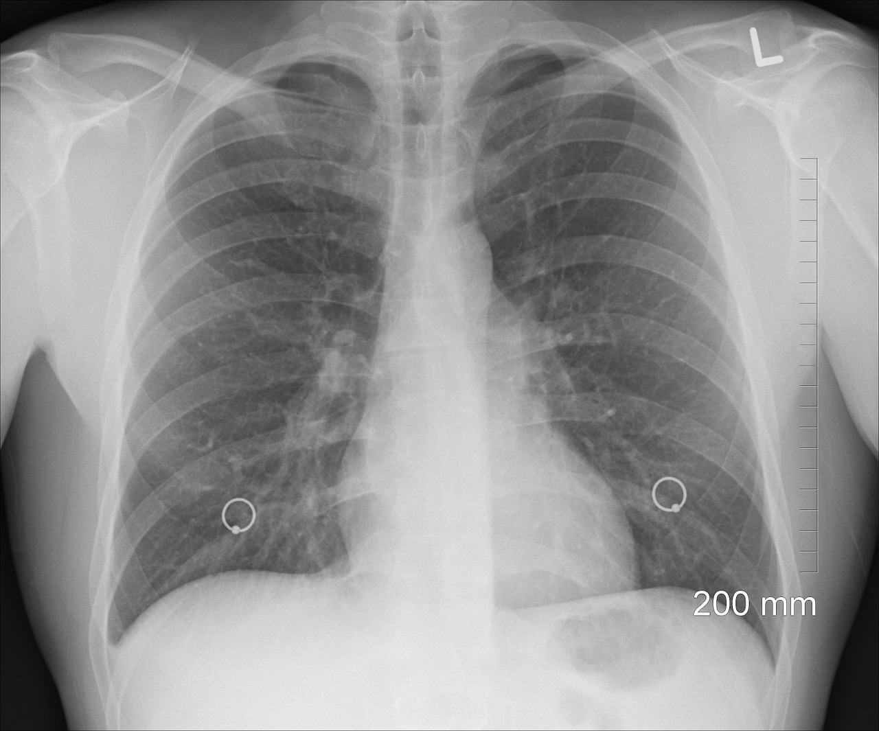
Dans les formes infectieuses les plus graves, "quand on découvre que l'aspergillus est en cause, le poumon commence à se détruire, il y a d'énormes cavités avec des boules de champignons à l'intérieur", explique le docteur Godet.
Chez les patients non traités, la mortalité à 5 ans varie de 50 à 80%.
La chirurgie est rarement possible et le seul moyen de combattre l'aspergillose est un traitement antifongique, qui s'étale sur 6, 9 voire 12 mois. Problème: comme pour les antibiotiques, un usage trop large de ces médicaments entraîne une résistance qui nuit à leur efficacité.
Avec deux autres spécialistes français, les professeurs Jacques Cadranel et Francis Couturaud, le docteur Godet lancera en novembre une étude inédite au monde.
Son but: comparer le traitement classique - la prise d'un antifongique sous forme de comprimés -, à un traitement alternatif. Il associe le traitement conventionnel à l'administration sous forme d'aérosol d'un autre antifongique.
"L'idée, c'est de faire respirer le médicament par le même endroit que les spores, pour avoir de grosses concentrations dans les zones infectées", explique le docteur Godet.
Quelque 350 patients seront inclus dans cette étude.
Si le traitement par aérosol fait la preuve de son efficacité, il aura un autre avantage, et non des moindres pour les pays pauvres: il est beaucoup moins cher que les derniers antifongiques sortis sur le marché (200 euros pour 6 mois de traitement, contre 10.000, 23.000 voire 75.000 pour d'autres molécules).
"C'est un énorme problème de santé publique, mais cette maladie n'est pas visible de la population et du corps médical", assure à l'AFP le docteur Cendrine Godet, selon qui "ces patients doivent être reconnus comme victimes".
Avec d'autres spécialistes, elle a sonné la mobilisation contre l'aspergillose pulmonaire chronique lundi à Paris, lors du Congrès international de la Société européenne des maladies respiratoires (ERS).
"Les publications actuelles font état de 3 millions de personnes touchées dans le monde et 240.000 en France, mais c'est très sous-estimé", dit-elle.
Le coupable est un champignon extrêmement répandu, l'aspergillus. Greniers, plafonds, climatiseurs, lieux humides comme les salles de bains ou les cuisines: "On le respire quotidiennement", souligne le docteur Godet. "Dès que vous avez des taches noirâtres sur les murs, il y a de l'aspergillus là-dedans".
Pour la plupart des gens, il est inoffensif. A l'inverse, on sait depuis longtemps qu'il met en danger des patients fragiles, comme les immunodéprimés ou ceux qui ont déjà souffert d'autres maladies pulmonaires comme la tuberculose ou le cancer du poumon.
Mais, et c'est nouveau, les spécialistes estiment aujourd'hui que l'aspergillus représente une menace pour une catégorie de population bien plus large que ce qu'on pensait.
"Cela peut être des gens qui ont les bronches dilatées parce qu'ils fument, qui ont de l'asthme, ou qui ont une petite cicatrice sur le poumon, laissée par une infection ancienne, comme une pneumonie par exemple", selon le docteur Godet.
L'aspergillus profite alors de ces portes d'entrée pour "faire son nid" dans le poumon, ajoute-t-elle, en citant l'exemple d'un de ses patients, un palefrenier vraisemblablement infecté à force de manipuler des céréales dans les box à chevaux.
- "Boules de champignons" -
"Des symptômes chroniques peuvent se développer sur des mois et des années, sans faire de bruit: on tousse, on est essoufflé et on peut en arriver à cracher du sang", décrit Cendrine Godet.
Ces symptômes ne sont pas propres à cette maladie et le diagnostic est difficile à poser.
Dans les formes infectieuses les plus graves, "quand on découvre que l'aspergillus est en cause, le poumon commence à se détruire, il y a d'énormes cavités avec des boules de champignons à l'intérieur", explique le docteur Godet.
Chez les patients non traités, la mortalité à 5 ans varie de 50 à 80%.
La chirurgie est rarement possible et le seul moyen de combattre l'aspergillose est un traitement antifongique, qui s'étale sur 6, 9 voire 12 mois. Problème: comme pour les antibiotiques, un usage trop large de ces médicaments entraîne une résistance qui nuit à leur efficacité.
Avec deux autres spécialistes français, les professeurs Jacques Cadranel et Francis Couturaud, le docteur Godet lancera en novembre une étude inédite au monde.
Son but: comparer le traitement classique - la prise d'un antifongique sous forme de comprimés -, à un traitement alternatif. Il associe le traitement conventionnel à l'administration sous forme d'aérosol d'un autre antifongique.
"L'idée, c'est de faire respirer le médicament par le même endroit que les spores, pour avoir de grosses concentrations dans les zones infectées", explique le docteur Godet.
Quelque 350 patients seront inclus dans cette étude.
Si le traitement par aérosol fait la preuve de son efficacité, il aura un autre avantage, et non des moindres pour les pays pauvres: il est beaucoup moins cher que les derniers antifongiques sortis sur le marché (200 euros pour 6 mois de traitement, contre 10.000, 23.000 voire 75.000 pour d'autres molécules).



































