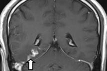
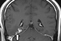
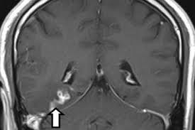
Londres, Royaume-Uni | AFP | vendredi 21/11/2014 - Un ver d'un centimètre a été extrait du cerveau d'un Britannique qui était allé consulter son médecin pour des maux de tête, ont révélé des scientifiques vendredi.
La petite bête, le Spirometra erinaceieuropei, nichait dans le cerveau de cet homme de 50 ans depuis quatre ans, se déplaçant d'un côté à l'autre.
C'est la première fois qu'un tel parasite est découvert au Royaume-Uni. Depuis 1953, seuls 300 cas ont été enregistrés dans le monde.
Ce ver provoque une inflammation des tissus et, s'il atteint le cerveau, des pertes de mémoire et des maux de tête.
Sa rareté le rend mystérieux aux yeux des scientifiques qui ignorent son cycle de vie. Toutefois, il est censé s'attraper en consommant de petits crustacés infectés des lacs chinois, de la viande de reptile et d'amphibiens crue, ou en usant de cataplasmes de grenouille, un remède chinois pour calmer les inflammations des yeux.
"Nous ne nous attendions pas à découvrir une infection de ce genre au Royaume-Uni mais avec le développement des voyages ce genre de parasites inconnus apparaissent parfois", a déclaré Effrossyni Gkrania-Klotsas, du service des maladies infectieuses de l'hôpital Addenbrooke, à Cambridge, qui a retiré le ver.
Le parasite a été donné à des généticiens du Wellcome Trust Sanger Institute de Cambridge qui ont réussi à séquencer son génome pour la première fois, leur permettant d'étudier des traitements potentiels.
"Ce ver est un mystère et nous ne savons pas quelles espèces il peut infecter ou comment, a expliqué le docteur Hayley Bennett, de l'équipe du Wellcome Trust. Les humains constituent un hôte accidentel et rare".
"Le parasite reste à l'état de larve durant toute la période d'infection", et pourrait se nourrir d'acides gras, a déclaré Mme Bennett.
La petite bête, le Spirometra erinaceieuropei, nichait dans le cerveau de cet homme de 50 ans depuis quatre ans, se déplaçant d'un côté à l'autre.
C'est la première fois qu'un tel parasite est découvert au Royaume-Uni. Depuis 1953, seuls 300 cas ont été enregistrés dans le monde.
Ce ver provoque une inflammation des tissus et, s'il atteint le cerveau, des pertes de mémoire et des maux de tête.
Sa rareté le rend mystérieux aux yeux des scientifiques qui ignorent son cycle de vie. Toutefois, il est censé s'attraper en consommant de petits crustacés infectés des lacs chinois, de la viande de reptile et d'amphibiens crue, ou en usant de cataplasmes de grenouille, un remède chinois pour calmer les inflammations des yeux.
"Nous ne nous attendions pas à découvrir une infection de ce genre au Royaume-Uni mais avec le développement des voyages ce genre de parasites inconnus apparaissent parfois", a déclaré Effrossyni Gkrania-Klotsas, du service des maladies infectieuses de l'hôpital Addenbrooke, à Cambridge, qui a retiré le ver.
Le parasite a été donné à des généticiens du Wellcome Trust Sanger Institute de Cambridge qui ont réussi à séquencer son génome pour la première fois, leur permettant d'étudier des traitements potentiels.
"Ce ver est un mystère et nous ne savons pas quelles espèces il peut infecter ou comment, a expliqué le docteur Hayley Bennett, de l'équipe du Wellcome Trust. Les humains constituent un hôte accidentel et rare".
"Le parasite reste à l'état de larve durant toute la période d'infection", et pourrait se nourrir d'acides gras, a déclaré Mme Bennett.





































